LA PAROLA AL RADIOLOGO
A cura del dott. Carlo Faletti
Resp. Traumatologia dello Sport - SIRM - Radiologia Muscolo-Scheletrica.
Trattamento della patologia tendinea cronica con infiltrazione di pappa di piastrine
Armanda De Marchi, Simona Pozza, Enzo Cenna*, Simone Spolaore*Dipartimento di Diagnostica per Immagini – *U.O.D. Patologia dello Sport Dip. di Ortopedia. – A.S.O. CTO/Maria Adelaide – TORINO
In accordo con quanto enunciato dall’organizzazione mondiale della sanità (WHO) le lesioni dell’apparato muscolo-scheletrico colpiscono centinaia di milioni di persone nel mondo, rappresentando la maggiore causa di dolore persistente e duraturo ed impotenza funzionale.[1,2]
Gli anni 2000-2010 sono stati addirittura etichettati come “the decade of bone and joint” con l’intento di promuovere ricerche sulla prevenzione, sulla diagnosi e sul loro trattamento.[3] L’incremento dell’attività sportiva ha portato infatti, di pari passo, un aumento delle lesioni muscolo-scheletriche che negli USA è rappresentato per il 45% da quelle tendinee e legamentose. Fra queste suscita particolare interesse la patologia tendinea cronica il cui trattamento, molto lungo, si avvale di tecniche svariate, sia di tipo conservativo fisiatrico o farmacologico sia di tipo più invasivo fatto di infiltrazioni, onde d’urto fino alla terapia chirurgica. Tali trattamenti, però, sfociano talora in un sollievo temporaneo per i pazienti e non in una guarigione definitiva per cui nasce la necessità di esaminare nuove possibilità terapeutiche.[4] è stato considerato in Europa e, più recentemente, negli USA l’utilizzo di derivati del sangue autologo per facilitare la guarigione in una ampia varietà di applicazioni, in campo ortopedico, in medicina dello sport, in neurologia etc.
Fra i componenti del sangue particolare interesse hanno suscitato le piastrine che sono in grado di stimolare il rilascio di fattori di crescita atti ad innescare il processo di guarigione nelle lesioni croniche.
Anche se la letteratura è ancora scarsa e con pochi lavori multicentrici, recentemente esistono esperienze molto incoraggianti sull’impiego del PRP nel trattamento della patologia cronica dei tendini refrattaria alla terapia quale l’epicondilite, la fascite plantare e la degenerazione cartilaginea.[5,6]
I tendini che più frequentemente vanno incontro a patologia degenerativa per via del sovraccarico a cui sono sottoposti nelle varie pratiche sportive, sono il tendine rotuleo, il tendine di Achille, i tendini epicondiloidei e la fascia plantare. Le moderne tecniche di imaging come l’ecografia e la risonanza magnetica, supportate dai dati clinici, analizzano con estrema precisione la struttura fibrillare dei tendini; pertanto grazie a queste metodiche si evidenziano molto chiaramente quelle alterazioni che attraverso l’analisi dello spessore, della struttura, delle calcificazioni e della vascolarizzazione portano alla diagnosi di tendinopatia degenerativa o tendinosi.
Sono proprio le aree patologiche di tendinosi che possono essere trattate con una tecnologia ecoguidata che permette l’immissione mirata delle piastrine nella sede di degenerazione.
Da un’analisi della letteratura e in base alla nostra esperienza, che deriva dalla collaborazione con i colleghi dei Dipartimenti di Ortopedia e Fisiatria, i pazienti candidati a tale trattamento sono soggetti sportivi non agonisti, in età compresa fra i 18 e 55 anni, con patologia tendinea cronica refrattaria ai trattamenti comunemente adottati (FANS, FKT e infiltrazioni di derivati cortisonici) con coinvolgimento degenerativo dei tendini rotuleo, Achilleo e degli epicondiloidei, in assenza all’anamnesi di malattie concomitanti come diabete, malattie cardiovascolari o in corso di terapie mediche non compatibili. La tendinosi ha caratteristiche codificate nell’imaging anche se alcuni aspetti non hanno un significato condiviso, come la presenza di strutture vascolari nelle lesioni, espressione per alcuni di un tentativo di riparazione piuttosto che un fatto infiammatorio.[5,7,8]
Descrizione del PRP
Il primo impiego del PRP (platelet rich plasma- preparato ricco di piastrine) autologo risale al 1987 durante un intervento di cardiochirurgia, per evitare eccessive trasfusioni di sangue omologo.[9] Il composto che viene utilizzato viene preparato da un prelievo di sangue venoso di 120 ml da cui è possibile isolare circa 15 ml di PRP suddivisi in diverse sacche a seconda del numero di inoculazioni volute (in genere 3). (Figg. 1, 2)
All’interno dei 15 ml estratti è presente una quantità variabile di piastrine, dipendente sia dalla concentrazione iniziale del paziente sia dal fatto che possa aver assunto di recente FANS o altri farmaci interferenti con il sistema piastrinico.
In generale è comunque possibile estrarre da 120 ml circa 6.0+/- 2.0 milioni di piastrine per ogni preparato da inoculazione. Il preparato viene posto in crioconservazione a -8° C. Circa 15 minuti prima dell’inoculo il prelevato viene prelevato in modo sa ridurne il congelamento, appena prima dell’inoculo, viene unito a 1 fiala di CaGluconato al 10% e 1 fiala di trombina attivata, in modo da rendere attivo il suo contenuto.[2]
 |
Figura1
Sacca sterile nella quale è contenuto il composto di PRP. |
 |
Figura2
Il contenuto della sacca viene prelevato pochi istanti prima di essere inoculato in sede infratendinea. |
 |
Figura3
I due operatori procedono all’inoculazione del PRP utilizzando una sonda lineare ad alta frequenza sulla quale viene montato un dispositivo per la guida ecografica che consente di introdurre il contenuto della sacca precisamente nell’area di tendinosi. |
Tecnica di esecuzione delle infiltrazioni
Si utilizza un’apparecchiatura ecografica dotata di sonde lineari ad alta definizione e ad alta frequenza con un operatore che tiene fissa la sonda nel punto di interesse e un secondo operatore che procede all’introduzione del preparato piastrinico. (Fig.3)
Il paziente è sdraiato sul lettino: in posizione prona o supina a seconda della struttura tendinea da esaminare. Previa preparazione del campo sterile che prevede l’utilizzo di presidi sterili anche per la sonda ecografica, viene eseguita anestesia locale loco-regionale perifocale alla zona tendinea da infiltrare con 5-10 cc di bupivacaina al 2%. La somministrazione endotendinea di PRP viene eseguita sotto guida ecografica con un ago da 18 G nelle aree alterate e defibrillate del tendine precedentemente studiate con esame ecografico e risonanza magnetica. (Figg. 4-7)
Il trattamento prevede l’esecuzione di tre infiltrazioni, ciascuna a distanza di 15 giorni dall’altra. La procedura viene ben accettata dai pazienti perché non procura impotenza funzionale o dolore aggiunti. Viene poi fatto un controllo con ecografia e risonanza magnetica alla fine del trattamento (30 gg), dopo 6-7 settimane e dopo 6 mesi, per la valutazione delle condizioni morfologiche dei tendini confrontate con i dati clinici. (Figg. 8-10) Il razionale dei controlli seriati è correlato con il naturale processo di guarigione delle fibre tendinee che avviene rispettando fasi precise.[10]
Da dati sperimentali ottenuti su animali infatti, alcuni AA hanno dimostrato nella fase iniziale la presenza di eritrociti e neutrofili e fagocitosi di materiale necrotico nella sede della lesione acuta. Segue una fase in cui vengono rilasciati fattori vasoattivi che favoriscono l’angiogenesi e la proliferazione di tenociti che iniziano la sintesi di collagene.[11] Dopo 6 settimane inizia la fase del rimodellamento con diminuzione del collagene e della sintesi di glicosaminoglicani: il tessuto riparativo si modifica passando da tessuto cellulare a tessuto fibroso. Questo tessuto fibroso nel corso di un anno andrà incontro a successive modificazioni che lo renderanno simile ad un tessuto cicatriziale con netta riduzione del metabolismo dei tenociti e delle strutture vascolari. Nella patologia degenerativa del tendine rotuleo, il cosiddetto “jumper’s knee”, nei casi refrattari alla terapia, si è visto un miglioramento statisticamente significativo sia della sintomatologia sia della capacità di recupero e di ritorno all’attività fisica subito dopo il trattamento con PRP e in modo più significativo a distanza di sei mesi.[12]
Alcuni AA hanno dimostrato che l’iniezione di PRP determinano la liberazione nel tessuto tendineo malato di una serie di sostanze cellulari e umorali che portano, attraverso un complesso iter biologico, alla rigenerazione del tessuto.[13, 8] Nell’ambito dell’epicondilite pluritrattata la procedura evidenzia in letteratura un miglioramento delle condizioni cliniche e anche in buona percentuale dell’aspetto morfologico dei tendini.[14] Rimane comunque una esiguo numero di pazienti che non presentano un cambiamento dell’imaging prima e dopo il trattamento anche a fronte di un netto miglioramento delle condizioni cliniche analizzate con i test di valutazione (VAS e Nirschl scores).
La scarsa capacità rigenerativa dei tendini va forse ricercata nella loro esigua vascolarizzazione con conseguente ridotta nutrizione e ossigenazione del tessuto, caratteristica che spiega la bassa potenzialità di guarigione e di conseguenza la difficoltà nel trattamento.[15] Nel complesso le applicazioni cliniche di tale procedura hanno riportato fra i vari AA buoni risultati.
Sono necessari però studi più ampi e standardizzati che porteranno a risultati più validi e comparabili. ■
 |
| Figura 4-5 - Tendine rotuleo tendinosico prima del trattamento all’esame ecografico: scansione longitudinale con powerDoppler e trasversa in basale: è possibile evidenziare un’area ipoecogena di tendinosi nella porzione prossimale profonda delle fibre tendinee del tendine rotuleo, priva di segni di vascolarizzazione. |
 |
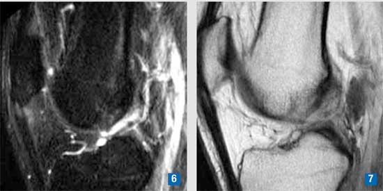
| Figura 6-7 - Stesso caso. Risonanza magnetica: sequenze STIR e SET1: area di alterato segnale a carattere iperintenso in sede infratendinea nella sede prossimale del tendine e nei tessuti limitrofi. |
 |
| Figura 8 - Stesso caso. Ecografia in scansione trasversa in corso di introduzione di PRP infratendineo nell’area di lesione: si evidenzia l’ago introdotto nella lesione. |
 |
| Figura 9-10 - Ecografia del tendine rotuleo tendinosico dello stesso paziente dopo trattamento: scansione longitudinale e trasversa: pur rimanendo ancora apprezzabile l’area ipoecogena di tendinosi la sintomatologia dopo terapia con PRP è regredita. |
Bibliografia
1 Woolf AD, Pfleyer B.: Burdon of major musculoskeletal conditions. Bull World Health Organ. 2003;81:646-56
2 Sampson S, Gerhardt.M, Mandelbaum B.: Platelet rich plasma injection grafts for musculoskeletal injuries: a review. Curr Rev Musculoskeletal Med (2008) 1:165-174
3 Anitua M, Sanchez E, Nurde ,Nurden P,Orive G, Andia I.: New insights into and novel applications for platelet-rich fibrin therapies. Trends Biotechnol. 2006; 24(5):227-34
4 Almekinders L, Temple J.: Etiology, diagnosis and treatment of tendonitis: an analysis of the literature. Med Sci Spot Exerc 1998; 30(8):1183-1190.
5 Mishra A, Pavelko T.: Treatment of chronic elbow tendinosis with bufferede platelet-rich plasma. Am J Sports Med.2006; 10(10): 1-5
6 Barret S. Erredge S.: Growth factors for chronic plantar fascitis. Podiatry Today. 2004;17:37-42.
7 Jobe F, Ciccotti M.: Lateral and medial epicondylitis of the elbow. J Am Acad Ortop Surg. 1994;2: 1-8.
8 Edwards SG, Calandruccio JH.: Autologus blood injections for refractory lateral epicondylitis. Am J Hand Surg. 2003; 28(2):272-8.
9 Ferrari M, Zia S, Valbonesi M.: A new technique for hemodilution, preparation of autologus platelet-rich plasma and intraoperative blood salvage in cardiac surgery. Int J Artif Organs. 1987; 10:47-50.
10 Sharma P, Maffuli N.: Tendon injury and tendinopathy:healing and repair. J Bone Joint Surg Am 2005; 87:187-202
11 Murphy PG, Loitz BJ, Frank CB, Hart DA.: Influence of exogenous growth factors on the syntesis and secretion of collagen types I and III by explants of normal and healing rabbit ligaments. Biochem Cell Biol 1994; 72: 403-409.
12 Filardo G, Kon E, Della Villa S, Vincentelli F, Fornasari PM, Marcacci M.: Use of platelet-rich plasma for the treatment of refractory jumper’s knee. International Orthopaedics (SICOT) Springer Verlag 2009
13 Taylor MA, Norman TL, Clovis NB el al.: The response of the rabbit patellar tendons after autologus blood injection. Med Sci Sports Exerc 34(1):70-73.
14 Connel DA, Ali KE, Ahmad M et al.: Ultrasond-guided autologus blood injection for tennis elbow. Skeletal Radiol (2006) 35:371-377.
15 Jostza LG, Kannus P. : Human tendons. Anatomy, physiology and pathology. (1997); Human Kinetics books pp178-184.
Torna
al top
|